

Our Vision
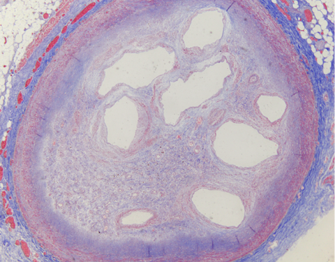
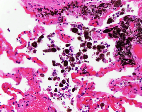
Death Under Glass seeks both to educate viewers about the role of histology in the practice of forensic pathology and to allow visitors to appreciate microscopic images for their brilliant colors and captivating cellular morphology.
Although contemporary depictions of death investigation remain popular, little or no attention is given to the value of histology in autopsy pathology.

Events
The Death Under Glass exhibition seeks to share the "pathologist's view of the world" with the general public, at high magnification and in technicolor.
Find an exhibition near you.


Art Meets Science
Principles of art such as control, contract, emphasis, movement, and pattern are all present here. They combine to make a visually pleasing composition. Viewers can use their imaginations to create a sense of depth and perspective, even though what is portrayed on each slide is smaller than the naked eye.
Each Death Under Glass image underscores the importance of health and prevention. Technically they do represent specific maladies, but artistically they can be enjoyed by viewers without a medical background by applying their own interpretations.











